Loét âm đạo – 4 nguyên nhân và phương pháp điều trị
Thẩm định nội dung
Bác sĩ Tạ Thị Hồng Duyên
BS.CKI – Bệnh viện Phụ Sản
Chịu trách nghiệm kiểm duyệt chuyên môn bài viết
Viêm loét vùng kín là dấu hiệu của những bệnh lý nghiêm trọng như sùi mào gà, giang mai hoặc bệnh lậu. Đây là triệu chứng giai đoạn muộn và rất dễ phát triển thành tổn thương khó chữa. Vậy nhận biết và điều trị bệnh lý này ra sao? Hãy tham khảo ngay bài viết dưới đây – cố vấn bởi Bs CK1 Phụ Sản Tạ Thị Hồng Duyên.
Gửi ảnh để được chuyên gia phân tích và tư vấn miễn phí:
*Phòng khám cam kết bảo mật thông tin
5 Triệu chứng loét âm đạo thường gặp
Viêm loét vùng kín xảy ra do sự tấn công của các vi khuẩn lây lan qua đường tình dục. Khi mắc bệnh, phụ nữ thường có những triệu chứng rõ ràng như:
- Có các đường viền nổi rõ, sắc nét
- Bề mặt vết loét phủ nhiều giả mạc màu xám hoặc vảy tiết màu nâu xám, có thể có quầng đỏ hoặc phù nề xung quanh.
- Ngoài ra còn có thể có ban đỏ thứ phát và phù.
- Kích thước vết loét đa dạng, từ vài mm đến 1 cm
- Đau rát khi quan hệ, tiểu tiện

Bạn có vết loét âm đạo nhưng ngại đi khám, có thể khám từ xa miễn phí với bác sĩ Phụ sản bằng cách nhấp chọn vào khung chat bên dưới:
Tìm hiểu 5 bệnh lý gây loét âm đạo phổ biến
Để dẫn tới tình trạng loét thì độc tính của loại vi khuẩn/virus rất mạnh, hoặc do bệnh nhân đang bị suy giảm miễn dịch:
Viêm phụ khoa nặng
Viêm phụ khoa thường do vi khuẩn, nấm Candida hoặc trùng roi Trichomonas gây ra. Với biểu hiện khí hư bất thường, mùi hôi khó chịu, sưng ngứa âm đạo,…
Trong một số trường hợp không điều trị kịp thời, viêm phụ khoa ăn sâu vào niêm mạc âm đạo, gây lở loét nặng như ảnh.
Viêm loét âm đạo không điều trị chỉ bằng thuốc được. Mà cần xử lý thủ thuật hoặc công nghệ cao để giải quyết ổ viêm loét trước.

Ảnh: loét do viêm âm đạo
Tham khảo: Phương pháp điều trị viêm âm đạo hiệu quả lâu dài
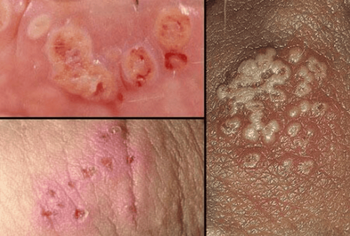
Mụn rộp sinh dục
Mụn rộp sinh dục là bệnh nhiễm trùng do virus Herpes (HSV) gây ra, lây truyền chủ yếu qua quan hệ tình dục không an toàn.
Khi mắc bệnh, nữ giới đầu tiên sẽ cảm thấy ngứa ngáy, đau rát tại vị trí nhiễm bệnh => xuất hiện nốt mụn nước, chứa dịch bên trong => nốt mụn vỡ và hình thành các vết loét.
HSV có thể làm lây lan mụn và vết loét sang các bộ phận khác, tạo cảm giác nóng rát, đau đớn lâu dài.
Giang mai
Giang mai là bệnh lý do xoắn khuẩn Treponema pallidum gây ra, dễ dàng lây qua đường tình dục. Khuẩn T-pallidum có khả năng tránh né hệ miễn dịch, gây loét hoại tử kéo dài và lan rộng, có thể lan vào máu và toàn thân.
Loét là triệu chứng giang mai giai đoạn 1(săng giang mai). Loét giang mai kích thước 0.5 – 2mm, không đau, tự lành sau 3-6 tuần nên dễ bị bỏ qua. Từ giai đoạn 2, loét giảm dần và thay thế bằng triệu chứng phát ban, tổn thương toàn thân, ảnh hưởng tim mạch và hệ thần kinh.
Tôi có vết loét ở âm đạo nhưng không đau – Cần tư vấn nhanh!

Ảnh: Loét săng giang mai tại âm đạo
Bệnh Lậu
Vi khuẩn lậu N. gonorrhoeae tấn công niêm mạc âm đạo gây viêm cấp tính, chảy mủ. Lậu không gây loét nặng như Herpes, nhưng có thể tạo các tổn thương mảng như ảnh dưới.
Lậu có thể xâm nhập vào đường máu, gây nhiễm trùng toàn thân, viêm khớp, nhiễm trùng nội tạng và vô sinh.

Ảnh: Loét nặng thành mảng do khuẩn lậu
Lậu thường đi kèm triệu chứng như dịch âm đạo vàng xanh, tiểu buốt, đau sau quan hệ… Bạn gặp tình trạng phụ khoa bất thường nào có thể nhận tư vấn miễn phí TẠI ĐÂY
Ung Thư Phụ Khoa
Ung thư gây loét ở giai đoạn III và IV, khi khối u lớn gây phá huỷ mô hoặc bị hoại tử, nhiễm trùng. Loét do ung thư dai dẳng, khó lành, đi kèm khí hư hôi thối và dễ chảy máu.
Loét âm đạo do ung thu ở giai đoạn cuối gần như không thể điều trị. Do đó các bạn nữ nên khám tầm soát bệnh phụ khoa 6 tháng 1 lần để ngăn ngừa bệnh từ sớm.
Cách xác định nguyên nhân loét âm đạo
Để xác định nguyên nhân loét âm đạo, trước tiên, bác sĩ sẽ đánh giá đặc điểm của vết loét và đưa ra chẩn đoán ban đầu. Sau đó, bác sĩ sẽ chỉ định làm xét nghiệm chuyên sâu như nhuộm gram, nuôi cấy để tìm ra tác nhân gây bệnh. Từ đó ra kết luận cuối cùng.
=> Điều này, đòi hỏi nữ giới buộc phải đến cơ sở y tế chuyên khoa Phụ sản để khám và làm xét nghiệm. Lưu ý, hãy lựa chọn địa chỉ uy tín để đảm bảo kết quả chính xác, hiệu quả chữa bệnh tốt
=> Nếu bạn lo lắng về vấn đề chi phí, hãy nhận ưu đãi khám phụ khoa 299K, khám bệnh xã hội 200K bằng cách nhấp chọn ƯU ĐÃI!
Loét âm đạo có nguy hiểm không?
Loét âm đạo sẽ không gây nguy hiểm nếu được điều trị từ sớm và đúng phương pháp. Khi có phác đồ điều trị, tác nhân gây bệnh sẽ được loại trừ, kiểm soát tốt, các vết loét sẽ nhanh lành và không gây ảnh hưởng tới khả năng có con sau này.
Ngược lại, nếu bệnh không được chữa sớm:
- Vết loét có thể lành nhưng sẽ tái phát nhiều đợt chỉ trong thời gian ngắn.
- Thậm chí nữ giới có thể bị bội nhiễm nhiêm trọng, biến dạng “cô bé”
- Trường hợp mang thai, thai nhị có thể bị nhiễm bệnh khi sinh thường. Dẫn tới mù lòa, thậm chí là tử vong (trường hợp nhiễm xoắn khuẩn giang mai)
- Trường hợp mắc giang mai, bệnh bước vào thời kỳ sau và có thể gây tổn thương tất cả các cơ quan quan trọng trong cơ thể.
Trao đổi nhanh với bác sĩ TẠI ĐÂY để nhận tư vấn điều trị
Loét âm đạo điều trị bằng phương pháp nào?
Tại Đa khoa Quốc tế Hà Nội, sau khi có kết quả thăm khám, bác sĩ sẽ căn cứ vào từng loại bệnh, mức độ bệnh để đưa ra phác đồ điều trị phù hợp.
Dùng thuốc
Người bệnh có thể được điều trị bằng thuốc chuyên khoa đặc hiệu. Thuốc có tác dụng loại bỏ tác nhân gây bệnh, kháng viêm, giảm đau nhức.
Thuốc có thể là thuốc uống, thuốc bôi hoặc cả hai. Tuy nhiên, dù thuốc nào nữ giới cũng nên dùng theo chỉ định của bác sĩ về liều dùng – thời gian sử dụng.
Kết hợp vật lý trị liệu
Để tăng tính hiệu quả chữa trị, người bệnh có thể được kết hợp điều trị với vật lý trị liệu, nhằm thúc đẩy quá trình tiêu diệt mầm mống gây bệnh, tăng cường khả năng kháng viêm, đồng thời, kích thích khả năng tái táo tế bào, đẩy nhanh quá trình lành thương.
ƯU ĐÃI CHI PHÍ ĐIỀU TRỊ:
- Miễn phí khám ban đầu (cơ sở khác 300.000 – 500.000 đồng)
- Giảm 10 – 30% phí vật lý trị liệu
- Giảm 30 – 50% phí thủ thuật
- Miễn phí tái khám
Lưu ý: Ưu đãi chỉ áp dụng cho bệnh nhân đặt lịch hẹn trước. Trường hợp không đặt lịch hẹn trước sẽ phải thanh toán 100% phí gốc.
Trực tiếp thăm khám cho chị em là đội ngũ bác sĩ nữ có hơn 20 năm kinh nghiệm khám chữa bệnh phụ khoa. Các bác sĩ từng làm việc và đảm nhận chức vụ cao tại các bệnh viện lớn ở thủ đô.

Một số bác sĩ tại Phòng khám có thể kể đến như ThS.BS Tạ Thị Hồng Duyên – Trưởng khoa Phụ sản tại Đa khoa Quốc tế Hà Nội, bác sĩ Nguyễn Thị Phương Loan – Nguyên Phó Giám Đốc Trung tâm chăm sóc sức khỏe thành phố, bác sĩ Bùi Thị Hường – Nguyên Quản lý chính sách Bà mẹ và Trẻ em.
Để tiết kiệm thời gian, đến khám luôn, chị em hãy đặt lịch hẹn trước TẠI ĐÂY!
Trên đây là những bệnh lý gây loét âm đạo chị em có thể tham khảo. Nếu chị em có triệu chứng loét âm đạo hãy đi khám ngay để được chữa khỏi sớm hoặc có thể trao đổi trước với bác sĩ qua HOTLINE 024.3678.8888 – 082.999.20.20 hoặc nhấp chọn TƯ VẤN!
Hiệu quả hỗ trợ điều trị phụ thuộc vào thể trạng của mỗi người
Tuân thủ theo đúng chỉ định của bác sĩ để mang lại kết quả tốt nhất



















